Ako ste mladi i razmišljate da li vam treba fiksna proteza, postoje mali vizuelni testovi koje možete obaviti. Odluku o nošenju proteze doneće zubar, ali uz ovaj vodič možete sa visokom sigurnošću da saznate da li ste kandidat za fiksnu protezu ili ne.

Jedno od važnih pitanja za svakog tinejdžera je „Da li treba da stavim fiksnu protezu?“. Kod osnovaca i srednjoškolaca to je bitna tema, jer nekome se estetski dopada (uglavnom devojčicama), a neko bi da izbegne ako može (uglavnom dečaci). Za one malo starije to je već pitanje opšte brige o sebi i o dentalnom zdravlju, pa se na tu temu gleda više racionalno a manje emotivno. U ovom blogu nećemo se baviti estetikom nošenja proteze niti najboljim godinama za nošenje proteze, već ćemo dati savete kako mlade osobe mogu same da odrede da li im je potreban ortodontski pregled.
Koji su neki od sigurnih pokazatelja da vam je potrebna proteza? Koji su granični slučajevi kada proteza nije obavezna, ali može popraviti estetiku osmeha? Kada je proteza potrebna ali se problem ne vidi u ogledalu? Odgovorićemo na ova i druga česta pitanja, ali hajde da prvo pobrojimo slučajeve se najčešće prepisuje proteza, jer krivi zubi mogu biti rezultat nekoliko različitih problema.
Krivi zubi su znak nedostatka prostora u vilici. Krivi zubi najčešće nastaju najčešće zbog kombinacije genetike i spoljnih faktora, ali uvek zbog barem jednog od sledećih uzroka:
Genetski faktor: od jednog roditelja možemo naslediti veličinu vilice ali od drugog naslediti zube koji su veliki za tu vilicu. To je samo jedan primer kako genetika može negativno uticati i kada nema nikakvih većih nepravilnosti u istoriji obe porodice.
Loše navike u detinjstvu: Sisanje palca ili dude u detinjstvu je glavni razlog za isturene zube i podignuto nepce. Zbog neprohodnosti nozdrva dolazi do disanja na usta i menja se dinamika pritiska jezika na nepce, što negativno utiče na razvoj gornje vilice.
Nepravilan rast mlečnih zuba: Prerani gubitak mlečnih zuba uzrokuje i preran gubitak prostora za stalni zub, što dovodi do nepravilnog rasta stalnog zuba. U suprotnom slučaju, ukoliko mlečni zub nije ispao na vreme, dolazi do rasta stalnog zuba pored njega.
Traume zuba ili vilice: Ređi slučaj, ali određene povrede mogu dovesti do nepravilnog oporavka vilice i krivog položaja zuba nakon povrede.
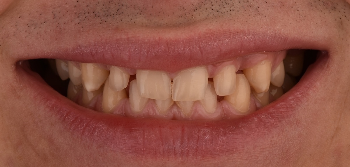
Zbijenost zuba i korekcija položaja vilice zajedno predstavljaju skoro 90% razloga za nošenje proteze, a nekada su oba problema prisutna i zajedno. U ostalih 10% spadaju razmak između zuba (dijastema) i neke retke nepravilnosti.

Sada ćemo što približnije moguće opisati kako izgledaju nepravilnosti u položaju zuba i vilice za koje se preporučuje fiksna proteza. Postoje i problemi za koje se preporučuje proteza, a koji se ne mogu videti, i njih ćemo se dotaći na kraju bloga. Takođe, postoje problemi koji se mogu korigovati keramičkim fasetama, bez potrebe za nošenjem proteze. To je slučaj kada su svi zubi sem jednog ili dva poravnati, što nije tako često u u praksi.
U gornjoj vilici zubi bi trebalo da formiraju luk koji ima blagu, elipsastu krivinu, koja je manje izražena napred, a od četvorki se povija unazad. Kada je luk pravilan, svetlo se jednako odbija od svih zuba, a svaka tačka dodira između zuba pri vrhu je diskretna, tako da se zubi jedva dodiruju. Jasni rani znaci zbijenosti u gornjoj vilici su rotacije, izbačenost i nepravilno dodirivanje zuba. Zbijenost se najčešće vidi na dvojkama, koje više nisu potpuno paralelne s jedinicama, već se blago zaokreću prema unutra. Konac se otežano provlači između jedinica i dvojki, kao i između dvojki i trojki, i vizuelno se zatvara prostor između dna dvojke i trojke.
Kod dece do 10 godina tada još uvek može pomoći mobilni aparat, ako se redovno nosi, koji je daleko lakši za nošenje i jeftiniji od proteze. To omogućava da se kost blago remodeluje, odnosno poveća svoj luk, i stvori par dodatnih milimetara koji nedostaju, čime se eliminiše kasnija potreba za fiksnom protezom. Kod starije dece, tinejdzera i odraslih isto stanje je već realna indikacija za protezu, ali dobra vest je to što je u takvim situacijama ortodontski tretman uvek uspešan.

Donja vilica je uža i pravilnije zakrivljena od gornje, pa se i najmanji manjak prostora odmah vidi u prednjem delu, na jedinicama i dvojkama. U početku sve deluje gotovo normalno, ali ako se dobro pogleda u ogledalu, ivice više nisu u ravnoj liniji – jedan zub je za nijansu zarotiran tako da je njegova ivica malo ispred ivice susednog zuba, a to se najbolje vidi na jedinicama. Na osmehu se početak problema vidi i po tome što svetlo više ne pada ravnomerno, tj. površina jednog zuba sija jače. Promene u rasporedu stvaraju utisak da su zubi uži, ali oni su ustvati zbijeni.
Blaga zbijenost znači da se zubi samo dodiruju vrhovima i da se konac može provući, ali uz mali otpor. Ako konac teže prolazi, to je znak da se zubi previše međusobno naslanjaju i da je luk donje vilice počeo da gubi svoju pravilnu zakrivljenost kada se gleda odozgo. Zbijenost u donjoj vilici brzo napreduje i zato je dobro zakazati pregled, čak i ako ne deluje ozbiljno, vremenom se zubi sve više krive i zbijaju.
Otvoreni zagrižaj postoji kada se gornji i donji sekutići ne dodiruju pri zatvaranju vilice, već između njih ostaje razmak. Najčešće su to 2–4 milimetra razmaka, pri čemu se u blažim slučajevima zubi ne dodiruju samo na jednoj strani vilice. Ovakav zagriz se najlakše uočava, a može biti posledica disanja na usta ili dužeg sisanja palca i korišćenja flašice u ranom detinjstvu. Iako otvoreni zagrižaj ne mora da smeta pri žvakanju, u kasnijem uzrastu može dovesti do istanjivanja ivica zuba i promene bočnog zagriza, pa se zato obično koriguje ortodontski. Dva milimetra razmaka je granica posle koje se preporučuje fiksna proteza, pri čemu se u nekim situacijama preporučuje i za razmake veće od 1 mm.

Normalno je da su očnjaci malo izbačeni u odnosu na susedne zube, jer je koren očnjaka najmasivniji. Međutim, očnjak ne sme da vrhom pogađa usnu, niti da se oseti na usni svaki put kada usna silazi preko njega. Takođe, očnjak koji više nije paralelan sa dvojkom, već je svojim vrhom okrenut ka dvojki, jeste indikacija da će proteza biti potrebna. Još jedan indikator je senka. Ako očnjak pred ogledalom pod bilo kojim uglom pravi senku na susednom zubu, to zahteva protezu.
Zubi mogu biti nagnuti ka napred, tako da je njihov vrh (kruna) istureniji od korena. To se lako uočava kada se lice pogleda iz profila – gornji sekutići blago guraju usnu, a zubi deluju kao da izlaze iz desni pod uglom, umesto da rastu pravo. Uzrok može biti dentakni ili skeletni. Kada su samo zubi nagnuti napred, a kost vilice je normalna, proteza lako poravnava niz. Međutim, ako je cela gornja vilica isturena, zubi se u terapiji mogu ispraviti, ali tako da zagrižaj i dalje ostane nesavršen.
Postoji i varijanta koja se teško primećuje, a to je kompenzacija. To su slučajevi kada gornja i donja vilica nisu poravnate, ali su zubi to nadoknadili, odnosno oni na isturenijoj vilici nagnuti su unazad, a zubi na povučenijoj vilici nagnuti su napred. Svaku izbačenost zuba veću od 6-7 stepeni potrebno je korigovati protezom. Iako je teže izmeriti stepene nego milimetre, nagnutost se lako vidi kada se zubi posmatraju bočno, odnosno dovoljno je snimiti bočnu fotografiju.

Jedna od izuzetno čestih ortodontskih nepravilnosti je preklapanje donjih zuba gornjim jedinicama i dvojkama. Često kutnjaci obe vilice normalno naležu jedni na druge, ali sekutići i očnjaci gornje vilice u potpunosti prekrivaju zube u donjoj vilici. Ako je preklapanje svega do jedne trećine visine donjih zuba, nema potrebe za protezom, dok je polovina prekrivenih donjih sekutića granična situacija, kada proteza često nije potrebna ako nema nikakvih drugih problema. Sam problem nije niti previše vidan niti stvara teškoće većini slučajeva.
Ako se vidi manje od polovine donjih zuba, to je verovatno situacija za protezu, pri čemu pacijenti kojima se koriguje položaj vilice nose posebne elastične gumice sa zadnje strane proteza, čiji je zadatak da postepeno izjednače položaj gornje i donje vilice. Vreme početka tretmana je izuzetno važno, jer ako se preklapanje primeti u tinejdž uzrastu, nekada je bolje sačekati 1–2 godine da se vidi da li će rast korigovati problem, a nekada je bolje što pre početi terapiju. Iz tog razloga izuzetno je važno da zubari prate decu sa takvim zagrižajem.
Suprotan slučaj od preklapanja gornje vilice je situacija kada je donja vilica blago isturena napred. Kod većine pacijenata kutnjaci i dalje naležu normalno, ali se u prednjem delu vidi da su donji zubi pomereni napred za milimetar ili dva (debiljna platne krtice), i tada je već 2mm razmaka dovoljna indikacija za protezu. Iako je izbačena donja vilica uočljivija od prebačene gornje vilice, blaga odstupanja često ne prave funkcionalne smetnje i ne moraju se korigovati. Međutim, nepravilan položaj ovog tipa je često vrlo stresan za mlade, te se i tada koristi terapija fiksnom protezom sa elastičnim gumicama.
Neke probleme ni najpažljivije posmatranje u ogledalu ne može otkriti, odnosno oni se vide tek na ortopan snimku ili pri detaljnom pregledu u ordinaciji. To su, pre svega, situacije kada nema dovoljno prostora za rast umnjaka ili sedmica, te da će njihov rast dovesti do problema. Takođe, moguće je da koren zuba stoji pod uglom u odnosu na zub, što znači da zubi nemaju potrebnu stabilnost i potrebno je poravnanje. Sličan je i slučaj kada gornji i donji luk nisu iste širine, pa se zubi dodiruju samo delimično, što se golim okom ne vidi, a osoba ne zna iz ličnog iskustva da kontakt nije potpun.
U našoj praksi trećina mladih dolazi na ortodonstski pregled na sopstveni zahtev. To znači da mladi često pre primećuju probleme nego roditelji, i zato se nadamo se će im ovaj blog koristiti da obrate pažnju da neke od ranih indikatora problema sa položajem zuba. Ako ste vi jedan od starijh čitalaca, možete pomoći tako što ćete ga šerovati sa tinejdžerima i mladima u svojoj okolini.
